Tay-Says Disease research


http://en.wikipedia.org/wiki/File:Autorecessive.svg
http://kidshealth.org/parent/medical/genetic/tay_sachs.html


Rare autosomal recessive, most common variant, infantile. symptons; loss of hearing, delayed develpoment, seizures, and paralysis.


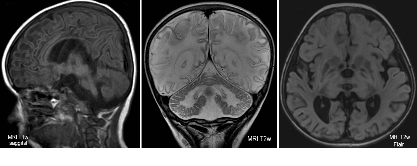
Progressive deterioration of nerve cells, and of mental and physical abilities, which commences, or starts, around six months of age and usually results in death by age four.


Occurs when harmful quantities of membrane components, known as gangliosides, accumulate in the brain's nerve cells, eventually leading to the premature death of the cells.


The diease is named for Warren Tay, an opthalmologist who first described the cherry-red spot on the Retina and Bernard Sachs, a neurologist who first described the changes in the brain and the prevalence among Ashkenazi Jews.


Each year about 16 cases of Tay Sachs are diagnosed in the United States. Although Ashkenazi Jews (Central and Eastern European) are at the highest risk, it is now also prevalent in non-Jewish populations, including people of French Canadian and Cajun heritage.



Some People carry the genetic mutation that causes tay sachs, but do not develop the actual disease, among Ashkenazi Jews, 1 in 27 people are carriers, in the general population of Ashkenazi Jews, 1 in 250 people have the disease.


To date, there is no cure or effective treatment for Tay-Sachs. However there is active research being done in many investigative lavoratories in the United States and around the world exploring a range of therapeutic approaches.

 


 

 
 


 













No comments:

Post a Comment